| 
 
  | 
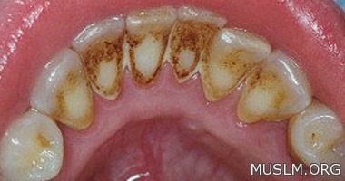
تعد مشكلة تراكم الجير عى الأسنان من أكثر المشاكل شيوعا، نظرا لأنه يعد موطنا آمنا للجراثيم ، وذلك لتشكيله طبقة صلبة من البلاك المعروف باحتوائها على الجراثيم.
وأوضح الدكتور عبد الله بهاء الدين طبيب أسنان بمستشفى طب 6 أكتوبر، أن تراكم الجير على الأسنان يؤدى إلى تراجع اللثة بسبب البكتيريا التى تعمل على تهيجها وتلفها، والإصاب بالتهاب لثوى، وقد يحدث ضعف فى الأسنان بسبب حدوث التهاب فى الدّواعم السنية في حالات متأخرة من وجود الجير، وبالتالي تخلخلها من مكانها، بالإضافة إلى احتمال تساقطها حتى وإن كانت الأسنان سليمة وتخلو من التسوس، مشيرا إلى أن  الجير يعد أحد أهم أسباب تسوس الأسنان وانبعاث رائحة كريهة من الفم.
وأشار طبيب الأسنان فى تصريحات  لـ" اليوم السابع" أن هناك بعض النصائح التى تساعد على منع تكون الجير على الأسنان وهى:
1-             تنظيف الأسنان بانتظام مرتين يوميا لمدة دقيقتين في المرة الواحدة، فالفرك لمدّة 30 ثانية يُزيل طبقة البلاك أو يقي من تشكُّل الجير مع استخدام فرشاة أسنان ناعمة الشعيرات وصغيرة بما يكفى للدخول إلى الفم بشكل مريح.
2-            استخدام فُرَش الأسنان الكهربائيّة: فقد وجدت دراسات أنها قادرة على التخلص من طبقة البلاك بشكل أفضل من الفرش العادية.
3-             اختيار معجون أسنان يقضى على الجير ويحتوى على الفلورايد: فهو يساعد في ترميم طبقة المينا، كما أن هناك منتجات تحتوى أيضاً على مادة التريكلوسان التي تُهاجم البكتيريا المسئولة عن تكون طبقة البلاك.
4-            استخدام الخيط الطبى للتنظيف بين الأسنان: يعد الخيط الطبي الطريقة الوحيدة لإزالة البلاك بين الأسنان ووقاية هذه المناطق من تكون الجير.
5-            شطف الفم يوميا: استخدام مادة معقمة خاصة بشطف الفم يساعد في قتل البكتيريا التي تسبب البلاك.
6-             مراقبة النظام الغذائي: فالبكتيريا في الفم تعيش في البيئة السكرية والنشوية، وعند التعرض لهذه الأطعمة تقوم بإطلاق أحماض مؤذية، لذلك ينصح بالتخفيف من مقدار ما يتم تناوله من الحلويات.
7-             شرب الكثير من الماء خلال وبعد تناول الطعام وحتى الوجبات.
| 
 
  | 
 
  | 
| 
 
  | 

  0   |   
  0   |   
  1434


